こんにちは。石岡みらい矯正歯科の丸岡です。
今日は「白い矯正ブラケット(セラミックブラケット)」をテーマに、はじめての方にもできるだけわかりやすくまとめました。最近は「目立ちにくい矯正」を選びたいというご相談が本当に増えています。
当院では開設以降、一貫して、セラミックブラケットを使用した本格矯正治療をすすめています。

はじめに
1.「始めたいけど始められない」いちばん多い理由=見た目
成人の矯正動機は多くが、見た目(ガタガタがったり口ゴボと表現に代表されるような前突感)です。一方、「装置が目立つことへの抵抗」が治療をためらう理由になりやすい、という調査・レビューが複数あります。
成人では審美面(見た目)が治療選択と満足度に強く影響し、見た目への不安が治療開始の障壁になりうることが報告されています。
最近のトレンド
2.最近のトレンド:目立ちにくい装置が選ばれやすい
この数年、マウスピース矯正(インビザラインに代表されるアライナー型矯正装置)や舌側矯正、ホワイトワイヤー矯正(白いブラケット+白いワイヤー)など、審美性の高い選択肢の需要が拡大しています。
特に、臨床・研究の両面でアライナー関連の発表が急増し、患者側の審美志向と相まって普及が進んでいるのが背景です。
目立ちにくい装置の種類
3.「目立ちにくい装置」には何がある?
①マウスピース矯正:取り外し可・透明で目立ちにくい。症例選択や治療シミュレーションがものを言い、専門的な技術が重要になります。

↑ アライナー型矯正装置は透明な見た目で取り外しできるので人気があります

↑ 治療方針立案とシミュレーションが治療の精度を左右します
②舌側矯正:歯の裏側に装置、正面からほぼ見えない装置です。発音や清掃に慣れが必要になります。

↑ 舌側矯正装置の例。裏側に装置を装着しますので、ほとんど見えません。
⭐︎関連する投稿⭐︎
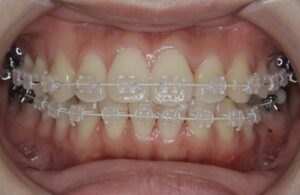
③白い装置(セラミックブラケット+ワイヤー):前歯部でも自然に溶け込み、表側でも目立ちにくいのが特徴になります。症例選択の幅も広く、当院では一番おすすめしているやり方になります。

↑ 当院の実際の症例。自然な見た目になります。
⭐︎セラミックブラケットについて、概要をまとめてあります⭐︎
セラミックブラケットとは
4.白い矯正装置(セラミックブラケット)とは?
素材と歴史
セラミックブラケットは主に酸化アルミナで、多結晶(ポリクリスタル)または単結晶(サファイア)といった素材でできています。1980年代後半に本格普及し、ワイヤー矯正装置の審美性を大きく高めました。

↑ アルミナと呼ばれる素材です

↑ アルミナを型に入れて圧接して生成するようです
見た目の仕組み
アルミナは光の透過・拡散特性により歯の色に馴染みやすく、メタルブラケットより「白く・透明感のある見た目」になります。結晶粒径や結晶の種類によって透明度と強度のバランスが変わります。そのため、白いブラケットと透明なクリアブラケットに大別されます。
白いワイヤーとの組み合わせがおすすめ
ニッケルチタンやステンレスの表面にポリマー等のコーティングを施したホワイトワイヤーが開発され、セラミックブラケットに合わせて使います。当院でもニッケルチタン、スレンレススチールのホワイトワイヤーを取り揃えています。
セラミックブラケットの利点・欠点
5.セラミックブラケットの利点・欠点
利点
高い審美性:近くでも自然に見えやすく、写真を撮った際、また対面での印象が良い。
変色しにくいブラケット本体:セラミック自体は色安定性が高いため、プラスティックブラケットと比べ変色しにくいとされています。
金属アレルギーの心配が軽減:金属を使っていないセラミックのみのブラケットもあるため、金属アレルギーが心配の方にも適しています。
注意点・欠点
破折リスク・脆性:金属製のブラケットより割れやすいとされています。(破折で口の中を切るといったことはほぼないと思われます)
撤去時のテクニック必須:不用意に外す力をかけると歯の表面に亀裂が入ってしまうこともあります。十分に習熟した術者に外してもらうのがおすすめです。
Q&A
6.よくあるQ&A
Q1. 白い装置は目立ちませんか?
A. 正面からの会話・写真ではかなり目立ちにくいです。金属より審美評価が高いという実験・調査結果もあります。ただ、全く見えないというわけではありません。
Q2. 食事やカレーで装置が黄ばみますか?
A.ブラケット本体(セラミック)は変色しにくいですが、白いワイヤーのコーティングや結紮材・エラスティックは着色しやすい部材です。定期交換とホームケアでカバーできます。
⭐︎関連する投稿⭐︎
Q3. メタルと比べて治療が遅くなる?
A. ケースや使うワイヤー・結紮法で異なります。摩擦が増えうる点は設計に織り込みますし、現在は低摩擦設計やワイヤー選択で十分にコントロール可能です。
まとめ
7.まとめ
・審美の不安はごく自然無ことです。そのために「見えにくい選択肢」が発達しいます。当院ではセラミックブラケットのみを取り扱っています。
・セラミックはアルミナ系で歴史も長く、審美性が高い一方、脆性・撤去時配慮・摩擦など特性の理解が大切です。
セラミックブラケットとホワイトワイヤーについて、解説した動画も作成しております。ぜひ、合わせて、ご覧ください。
————————————————————————
当院では石岡市をはじめ、土浦市・水戸市・つくば市・小美玉市・かすみがうら市・鉾田市・笠間市など、茨城県内のさまざまな地域から患者さまにご来院いただいております。日本矯正歯科学会認定医と日本専門医機構矯正歯科専門医が在籍しています。
電車・お車ともにアクセスしやすく、県内広域からのご相談も歓迎しております。
石岡みらい矯正歯科 院長:丸岡亮(歯学博士)
茨城県石岡市国府4-5-4
TEL:0299-24-4118
最新情報は 公式Instagram でも発信中!ぜひフォローをお願い致します!
List of probably useful references
Johal A, et al. Adult orthodontics, motivations for treatment, choice, and experience. Am J Orthod Dentofacial Orthop. 2024.
D Sim, et al. Methodological issues in current clear aligner research. Semin Orthod. 2025.
Wang Y, et al. Expert consensus on clinical strategies for clear aligner therapy. Int J Oral Sci. 2025.
Försch M, et al. Perception of esthetic orthodontic appliances: Eye-tracking and survey. Dent J (Basel). 2019;7(2):43.
Bradley TG, et al. Mechanical and aesthetic properties of coated archwires. Marquette Univ; 2014.
Muguruma T, et al. Coatings covering esthetic orthodontic wires: bending/friction. J Orthod Sci. 2017.
Usui T, et al. Mechanical and frictional properties of aesthetic coatings. Dent Mater J. 2017.
JCO editors. Ceramic brackets―overview. J Clin Orthod. 1988;22(2):82–90.
Int J Orthod Rehabil. An update on orthodontic brackets―A review. 2020.
Srinidhi R, et al. Orthodontic bracket materials―An up-to-date review. 2023.
Grand View Research. Clear aligners market report 2024–2030. 2024.


