白い矯正用ワイヤーって?見た目に配慮したワイヤー矯正について
みなさま、こんにちは。石岡みらい矯正歯科・院長の丸岡亮です。
「矯正はしたいけれど、装置が目立つのは避けたい」という声を、初診相談でよく伺います。
最近は目立ちにくい装置を選ぶ方がぐっと増え、その選択肢の一つとして白いワイヤー+白いブラケットの組み合わせを選ばれる方も多くなりました。

↑ 白いワイヤーとブラケットの組み合わせのイメージ
今日はその白いワイヤーについて、仕組み・メリット/デメリット・長持ちのコツをわかりやすくご紹介します。
(審美性を重視する動機づけや装置選好の傾向は複数の研究で示されています。)
1. 「始めたいけれど踏み切れない」一番の理由は「見た目」
成人矯正の動機を調べた調査では、審美面(見た目)の改善が主要な理由として一貫して挙がります。一方で、装置が目立つことへの抵抗が受診のブレーキになりやすいことも報告されています。審美性が自尊感情や社会的場面での自信に関わるという関連も示されています。
当院でも「仕事柄、人前に出る」「学校で写真を撮る機会が多い」などの事情から、できるだけ目立たない選択肢を希望される方が増えています。
2. 最近のトレンド:目立ちにくい装置を選ぶ人が増えています
インビザラインに代表されるアライナー型矯正、舌側矯正(裏側矯正、リンガル矯正)、表側でも審美性を高めた装置(白いブラケット+白いワイヤー)など、「矯正=目立つ」から「選び方で目立ちにくくできる」時代に変化してきています。
患者さん側の審美志向の高まりは、審美ブラケット市場や審美コーティングワイヤーに関する研究の活発化の傾向からも読み取れると思います。

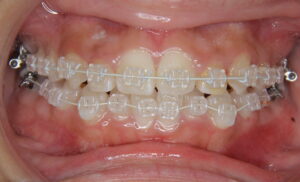
↑ 当院で使用しているワイヤーとブラケットの組み合わせの例

↑ 自然な口元になります
3. 白いワイヤー+白いブラケットを選ぶ方が増えている理由
以下の理由が考えられます。
・正面からの印象が柔らかい(写真・会議・学校生活で安心)
・表側のワイヤー矯正の治療の精度と審美性(見た目)のバランスが良い
・装置が見える期間をできるだけ配慮したい場合の選択肢
白いワイヤー(テフロン、エポキシ、ロジウムなどの被覆・めっき)とセラミック(またはプラスチック)ブラケットの組み合わせは、金属色の反射を抑えた自然な見え方になります。

↑ 白いコーティングを施したワイヤーの例(JM Ortho社)

↑ 模型につけた例 (JM Ortho社)
4. 白い矯正用ワイヤーとは?― 材料と歴史
ベースとなるのは従来から矯正歯科治療で使われているNi-Ti(ニッケルチタン)やSS(ステンレススチール)です。
そのワイヤーの表面にエポキシ樹脂やPTFE(テフロン)などのポリマーコーティング、あるいはロジウムめっきを施し、歯の色になじむ白~銀白色に見えるようにしたものです。当院ではPTFE加工されたワイヤーを使用しています。
2000年代以降に各種コーティングが普及し、審美性・色安定性・摩擦や腐食への影響などの研究開発と改良が積み上がってきました。
5. 白いワイヤーの「利点」と「欠点」
○利点
・見た目が自然:金属光沢が抑えられ、写真・対面でも目立ちにくい。
・金属成分への口腔内暴露を低減(ロジウム被覆など):ベース金属への直接接触を一部遮蔽。
○欠点(注意点)
・被膜の“はげ・欠け・変色”:コーティングの種類や飲食物、摩耗で色安定性が低下することがあります。
・摩擦や機械特性の変化:コーティングにより表面粗さ・摩擦・硬さが変わり、力の伝達性に影響する場合があります(臨床では段階や症例選択で調整)。
・プラーク付着しやすい:一部の審美被覆ワイヤーはプラーク付着が増えるとの報告があり、丁寧なブラッシングが重要です。
6. “はげ・変色”を起こしにくくする生活習慣
・色の濃い飲食の直後はうがい→できれば早めにブラッシング
コーヒー、赤ワイン、カレー、トマト系ソース、濃色のお茶などは着色リスクが高めになります。

↑ 着色しやすい食品の例
⭐︎関連する記事⭐︎
・前歯部のブラッシングは“やさしく小刻みに”
強いこすり過ぎは被膜の摩耗を早めます。電動ブラシは押し付けないのがコツ。
⭐︎関連する記事⭐︎
・ワイヤー直上を金属製の硬い道具でガリガリしない
家庭では歯間ブラシは細めを。院内クリーニング時も審美ワイヤー使用を伝えてください(器具選択で配慮可能)。
・ガム・カチカチの飴・硬いナッツを“習慣的に噛み続けない”
機械的摩耗・局所的な欠けの予防につながります。
・定期チェックで早めの交換・調整
被膜の劣化が目立つ前に定期的にワイヤー交換を行うと美観を保ちやすいです。
(定期的な来院がおすすめです)
7. よくある質問(Q & A)
Q1. 摩擦が増えると治療は遅くなりますか?
A. コーティングで摩擦や硬さが変わることはありますが、ブラケット・結紮方法・ワイヤー段階設計で十分にコントロール可能です。当院では耐久性の強いワイヤーと摩擦の少ないワイヤーを治療の場面で使い分けて、選択しています。

↑ コーティング面の違いによってメリットデメリットがあります (JM Ortho社)
8. まとめ
・白いワイヤー+白いブラケットは、表側のワイヤー矯正でも目立ちにくい選択肢です。見た目の不安から一歩踏み出せない方の後押しになります。
・一方で、被膜の摩耗・変色、摩擦の変化、プラーク付着などの特性があるため、清掃・食習慣・定期的な交換が大切。
・当院では治療段階に応じた素材の選択とていねいな清掃指導で、審美性と治療効率のバランスをとりながら進めます。
⭐︎関連する記事⭐︎
ホワイトワイヤーについて、説明用の動画も作成しております。合わせて、ぜひ、ご覧ください。
————————————————————————
当院では石岡市をはじめ、土浦市・水戸市・つくば市・小美玉市・かすみがうら市・鉾田市・笠間市など、茨城県内のさまざまな地域から患者さまにご来院いただいております。日本矯正歯科学会認定医と日本専門医機構矯正歯科専門医が在籍しています。
電車・お車ともにアクセスしやすく、県内広域からのご相談も歓迎しております。
石岡みらい矯正歯科 院長:丸岡亮(歯学博士)
茨城県石岡市国府4-5-4
TEL:0299-24-4118
最新情報は 公式Instagram でも発信中!ぜひフォローをお願い致します!
List of probably useful references
Johal A, et al. Adult orthodontics, motivations for treatment, choice, and experience. Am J Orthod Dentofacial Orthop. 2024.
Jedliński M, et al. Orthodontic treatment demand for fixed appliances in young adults. Int J Environ Res Public Health. 2024.
Bahar AD, et al. Dental aesthetics and self-esteem of patients seeking orthodontic treatment. Int J Environ Res Public Health. 2024;21.
Batista DM, et al. Attractiveness of different esthetic orthodontic wires (PTFE, epoxy, rhodium vs metal). Dental Press J Orthod. 2020;25(1).
Kula B, et al. Changes in color stability and surface roughness of Teflon-coated archwires. Materials (Basel). 2022;15(3).
Taha M, et al. In vitro and in vivo biofilm adhesion to esthetic coated archwires. Angle Orthod. 2015;85(6).
Zhou A, et al. Effects of various coating methods on mechanical properties of orthodontic wires. Orthod Craniofac Res. 2023.
Santhakumari PP, et al. Surface/nanomechanical properties of coated NiTi (rhodium/epoxy/PTFE). Polymers (Basel). 2024.
Mundhada VV, et al. Orthodontic brackets and their application: an updated review (ceramic brackets). Polymers (Basel). 2023.
Fróis A, et al. Corrosion of fixed orthodontic appliances: overview of metal/polymer/ceramic coatings. Metals (Basel). 2023;13(12):1955.


