みなさま、こんにちは。石岡みらい矯正歯科・院長の丸岡亮です。
「“上の前歯、真ん中に隙間が空いていて、気になって…”」というご相談を、当院の矯正相談でもよく伺います。
たとえば、「兄弟のときは自然と隙間が無くなったけど、この子もこのまま経過を見て大丈夫?」という保護者のお声も多くあります。
「子どもってみんな隙間が空くもの?」「なんとなく見た目が気になるけれど、治療を始めたほうがいい?」「このまま放っておいて大丈夫?」――そんな疑問にお答えしていきたいと思います。

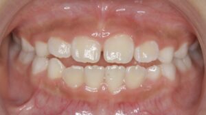
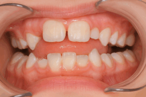
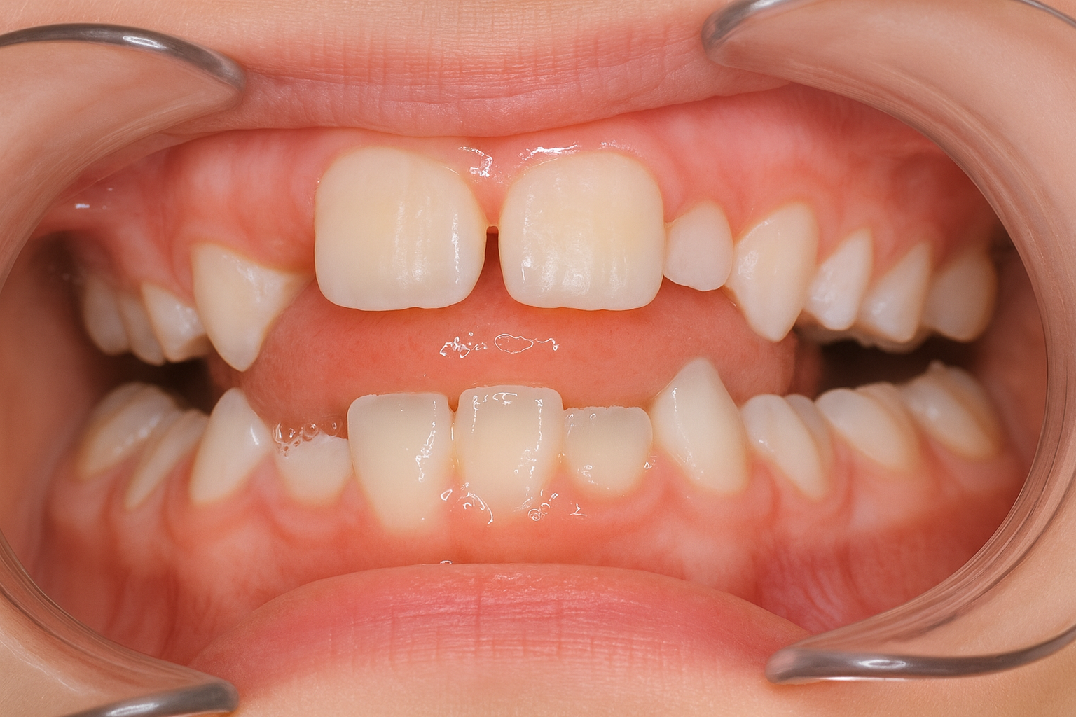
↑ 隙間が自然と埋まることも多いとされています
1.“Ugly Duckling stage”とは?
「いわゆる“醜いアヒルの子”期(Ugly Duckling stage)」とは、大人の歯と子供の歯が混ざった小学生の時期、医学的には混合歯列期において、上あごの中央付近、左右の永久中切歯が外側に傾斜することで、中央に隙間(正中離開/diastema)が生じる現象を指します。
文献的には、この隙間(正中離開)は混合歯列期に比較的高頻度にみられ、上顎の側切歯・犬歯が萌出を進める段階で自然に閉じていくことが多い、という報告が古くからあります。
そのため、基本的な方針としては「この時期(混合歯列期)では、まず経過観察でも良い場合が多い」というスタンスをとることが一般的です。

↑ 上記のように永久歯が出てくることで、隙間は減ってくることが多いとされています
ただし、いくつかの原因によって、正中離開が引き起こされる場合もあります。
2.正中離開が生じる原因の例
一般的なUgly duckling stage以外に考えられる理由は以下のようなものがあります。
①上顎の前歯の本数が足りない(特に側切歯と呼ばれる2番目の歯)
上顎の側切歯の欠如は、およそ1から2%で生じるとされています。乳歯が抜けたのにも関わらず永久歯が生えてこない場合は、空隙が余ってしまい、真ん中が空いた状態が続きます。

↑ 前歯の本数が足りない場合、隙間は余ってしまいます
②上顎の真ん中に過剰歯がある(正中過剰埋伏歯)
上顎の左右の中切歯の間やその近傍に位置する、余分な歯(過剰歯)のことで、他の歯の萌出を阻害したり、中切歯の傾きの変化を引き起こして、正中離開を生じさせる原因となることがあります。
頻度としては、研究により0.15~2 %程度という報告があり、男性に多く、10~12歳付近で検出されることが多いです。

↑ 上の前歯の間に小さい余分な歯がある場合があります
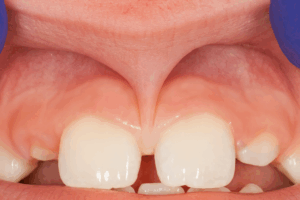
③上唇小帯と呼ばれる筋がしっかりしていて、長い
上唇小帯(上唇から上顎前歯間に付着する線維)は、付着する位置・幅・厚みが通常より、長かったり、太かったりする場合は、真ん中の隙間を物理的に引っ張ったり、介在したりして、隙間が閉じる妨げとなることがあります。

↑ 線維長くしっかりしていると隙間は埋まりません
④舌癖(飲み込む時に舌で歯を押している癖)など悪習癖
舌突出癖、特に前方型(tongue thrusting)や低位舌などが、上顎前歯の傾斜・突出・正中隙間の維持・再発に関与するという報告があります。
舌が中切歯間に押し付けられたり、連続的な圧力がかかることで、歯が外側に傾斜/開きやすいことがメカニズムとして示されています。

↑ 舌で前歯を押し出してしまうと隙間が空いてしまいます
そのほか、お子さまが爪を噛む、口唇を噛む、指しゃぶりが長引いているなどの習癖がある場合、それによる「前歯への圧迫/傾斜変化/隙間の維持または拡大」が起こる可能性があります。
3. いつ頃、相談に行った方が良いか
経過観察で良いか、妨げになっている原因がないか、それを知るだけでも保護者は安心できるのではないでしょうか。
当院では、目安として、上顎中切歯萌出後 6~12 か月経っても隙間に変化が乏しい場合や、習癖が残っている場合には矯正相談をおすすめしています。
とりあえず、話だけでも、というケースも歓迎しております。
⭐︎関連する投稿⭐︎
4. よくあるQ & A
Q1.「この隙間は必ず治療しなければいけませんか?」
→ A:いいえ。混合歯列期においては“Ugly Duckling stage”として一過性に隙間ができることが多く、まずは経過観察が適切なケースも多数あります。 ただし、「隙間が大きい」「習癖・萌出異常など他の原因がある」場合は、相談・検査をお勧めします。
Q2.「いつまで待てば自然に閉じると考えてよいですか?」
→ A:一般的には上顎犬歯が萌出してくる頃(おおよそ10~12歳前後)まで経過をみることが多いですが、隙間の大きさ・歯の傾斜・習癖の有無・レントゲン所見などを総合して判断します。 そのため、目安として「混合歯列末期(犬歯萌出直前)までに明らかな改善傾向がない場合」は矯正相談を検討するとよいでしょう。
Q3.「習癖(例えば爪噛みや舌癖)があるのですが、そのせいで隙間が残るのでしょうか?」
→ A:はい、可能性があります。舌癖・低位舌・前方突舌、爪噛み・鉛筆噛み・指しゃぶりなどの口腔筋・習慣の影響で、前歯に余分な力がかかって隙間が拡大・維持されることが報告されています。 習癖改善+矯正相談という流れが望ましいです。
5. まとめ
混合歯列期に上顎中切歯間の隙間があること(正中離開)は、実は“自然な発達過程”の一部であることが多く、いわゆるUgly Duckling stageとして経過観察が適切なことが多いです。
ただし、「隙間が大きい」「萌出・傾斜異常あり」「過剰歯あり」「上唇小帯の異常あり」「舌癖・習癖あり」などがある場合は、自然閉鎖しづらい・将来残る可能性もあるため、早めの相談が望まれます。
本院では、混合歯列期から“正中離開”に対して丁寧に観察・原因分析を行い、「いつまで経過観察でよいか」「どの時点で介入すべきか」の判断を保護者とともに進めています。
お子さまの「歯がどう生えてくるか」「隙間がどう変化しているか」は保護者の方による観察も重要です。「習癖や舌の位置」「歯の萌出ペース」「左右差」など気になる点があれば、早めにご相談ください。
————————————————————————
当院では石岡市をはじめ、土浦市・水戸市・つくば市・小美玉市・かすみがうら市・鉾田市・笠間市など、茨城県内のさまざまな地域から患者さまにご来院いただいております。日本矯正歯科学会認定医と日本専門医機構矯正歯科専門医が在籍しています。
電車・お車ともにアクセスしやすく、県内広域からのご相談も歓迎しております。
石岡みらい矯正歯科 院長:丸岡亮(歯学博士)
茨城県石岡市国府4-5-4
TEL:0299-24-4118
最新情報は 公式Instagram でも発信中!ぜひフォローをお願い致します!
List of probably useful references
Huang WJ, Creath CJ. The midline diastema: a review of its etiology and treatment. Pediatr Dent. 1995;17(3):171-179.
Oesterle LJ, Shellhart WC. Maxillary midline diastema: a look at the causes. J Am Dent Assoc. 1999;130(1):85-94.
Hussain U, Ayub A, Farhan M. Etiology and treatment of midline diastema: a review of literature. Pak Orthod J. 2013;5(1):27-33.
Sękowska-Chałasa A. Diastema size and type of upper lip midline frenulum. Folia Morphol (Warsz). 2017;76(2):315-321. doi:10.5603/FM.a2016.0079.
Meighani G, et al. Diagnosis and management of supernumerary (mesiodens). J Dent Child (Chic). 2010;77(2):101-109.
Modak S, et al. Etiological factors of the midline diastema in children: a systematic review. Int J Gen Med. 2023;16:1711-1723.
Rafael MAP, et al. Longitudinal evaluation of diastema closure in patients submitted to upper labial frenectomy during the mixed dentition. J Pediatr Dent. 2021.
Ortega KLG, et al. Mesiodens: Etiology, clinical characteristics and management―a 2024 bibliographic review. RSD J. 2024.
Suresh P, et al. “M” mechanics for midline diastema correction in the mixed dentition period. PMCID: PMC10533716. 2023.
Tankuş M, Bingül MB. Prevalence and complications of mesiodens: A radiographic study in a group of Turkish pediatric population. Eur Ann Dent Sci. 2022;49(3):125-130. doi:10.52037/eads.2022.0039.
Zainab Khan, Bhatnagar A, Perveen Z, Rajput D, Mishra P, Yeluri R. Association of maxillary labial frenum attachment and insertion with midline diastema in children with primary dentition: a cross-sectional study. Cureus. 2025.
Zhou C, et al. Expert consensus on pediatric orthodontic therapies of early childhood malocclusion. Int J Oral Sci. 2024.
“Why is it called the ‘Ugly Duckling’ phase and does it self-resolve?” Clinical Orthodontics. 2021;20(1):10844.


