上顎だけの舌側矯正(ハーフリンガル)という選択肢
こんにちは。茨城県石岡市、小美玉市、かすみがうら市、土浦市の矯正歯科クリニックの石岡みらい矯正歯科・院長の丸岡亮です。
ワイヤー矯正を検討している方の中には、「装置が目立つのは避けたい」という理由で治療を迷う方が少なくありません。
目立ちにくさを重視した選択肢のひとつが、上顎は舌側(裏側)・下顎は表側で治療するハーフリンガルです。真正面から見た時の印象を大きく変えずに、ワイヤー矯正の安定したコントロールを両立できる方法として注目されています。
審美性の要望が強まる近年、舌側装置は「見えにくい矯正」として選ばれることが増えてきています。 近年の文献でも、ハーフリンガルは審美性と快適性・コストのバランスが取れる選択になりうる、と示唆されています。

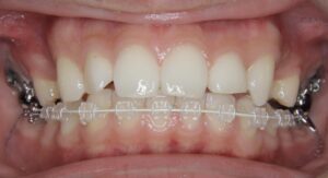
↑ 上顎のみのハーフリンガル矯正のイメージ。下顎はセラミックブラケットとホワイトワイヤーを装着しています。
1.ハーフリンガルとは?
上顎のブラケットを舌側(歯の裏側)に、下顎は表側に装着する治療法です。
舌側装置は1970年代に報告され、審美性を求める成人矯正の広がりとともに発展してきている装置になります。

2.ハーフリンガルのメリット
①正面からほぼ見えにくい
口元、特に上顎の前歯は笑顔で最も視線が集まる部位とされています。装置を表側ではなく、舌側に装着することで、会話・写真・ビデオ会議でも装置の存在感を抑えられます。
下顎の表側には装置が装着されますが、唇に隠れて見えないことも多いかと思います。また、ホワイトワイヤーを組み合わせることで見た目の違和感を減らすことが可能です。

↑ ハーフリンガルの一例。
⭐︎関連する投稿⭐︎
②上顎はホワイトニングができる
ワイヤー矯正の装置がついていると、ホワイトニング剤が浸透しにくくなるため、メーカーからはお勧めされていません。舌側矯正ではワイヤーの装置が舌側にあるため、カスタムトレーなどを調整することで、ホワイトニングをすることが可能になります。
③発音・咀嚼への慣れが比較的得やすい(上下顎のフルリンガルとの比較)
舌の可動域に影響しやすいのは主に上顎装置ですが、下顎に表側を採用することで舌の干渉量がフルリンガルより軽減されるケースがあります。
④舌の痛みが軽減される(上下顎のフルリンガルとの比較)
下顎歯列の舌側にマルチブラケット装置が装着されると、舌の下の部分に装置が当たることになります。舌の下は表側に比べて柔らかい組織ですので、粘膜を損傷しやすく、口内炎などの症状ができやすいと思われます。
⑤清掃性が向上(上下顎のフルリンガルとの比較)
特に下顎前歯の舌側は歯石が溜まりやすい代表的な部分になります。そのため、下顎前歯舌側にマルチブラケット装置が装着されていると、汚れが溜まりやすく、摩擦の増大など、治療が遅延する可能性があります。
⑥治療にかかる費用が安価(上下顎のフルリンガルとの比較)
舌側矯正の装置は、表側の治療方法とは異なり、歯につけるブラケットをカスタムメイド(オーダーメイド)で作る必要があります。また、使用するワイヤーが表側よりも数量が出ていないためか、高価です。そのため全体的に治療費は高価になります。ハーフリンガルはフルリンガルに比べ、下顎にカスタムメイドのブラケットを作成する必要がなくなるため、一般的にフルリンガルより安価で治療が可能です。
⑦治療を中断せずにライフイベントに臨める
特に20代の方で矯正治療を検討している方には、結婚式などのイベントを予定あるいは将来的にあるかもしれない、といった心配になり、矯正治療に踏み切れない方もいらっしゃいます。一時的にワイヤー矯正を外すこともできますが、舌側矯正ではそういった心配が少し減るのではないでしょうか。

↑ 結婚式までに前歯のがたがたを取りたいという要望も多くあります
⑧ワイヤー矯正の強みを活かせる(マウスピース型矯正装置との比較)
見た目への影響を抑える治療方法として、マウスピース型矯正装置を選択する方も増えてきています。一方で、症例の幅の制限がまだ存在するのが現状です。舌側矯正治療は表側のワイヤー矯正に近い適応範囲と精度を保ちつつ、審美面を確保できる治療方法であるとするレビューもあります。
2.ハーフリンガルのデメリット
①治療開始後の発音変化や舌側の違和感
舌に近接する上顎装置により、「さ行」や「た行」で発音が乱れやすいとされます。滑舌については、数日~数週で順応することが多いと報告されています。
⭐︎関連する投稿⭐︎
②清掃の難しさ(特に上顎舌側)
舌側は視認性が低く、プラーク蓄積や歯肉炎リスクが上がる可能性が示されています。適切な清掃指導と補助器具の併用が重要です。

↑ 特に歯肉との境目の清掃が重要です
⭐︎関連する投稿⭐︎
③費用・装置の作製性
舌側側は装置の製作工程が複雑になりやすく、費用が上がる傾向があります(医院により異なります)。
④下顎の前歯が見えやすい咬み合わせの方(治療初期)
ハーフリンガルは下顎は表側にワイヤー矯正の装置がつきます。下顎が前に出ている下顎前突の症例など下顎前歯が見えやすい状態の方では見た目のメリットは失われてしまいます。もちろん、治療が進み、下顎前歯が見えなくなる場合は、メリットを得られるようになります。

↑ 下顎前突の方がその代表例です
3.ハーフリンガルをお勧めできる方・向いていない方
①向いている方
・人前に出る機会が多く、「正面からの見えにくさ」を最優先したい方
・インビザラインでは適応外と言われたが、見た目と治療の精度を両立したい方
②向いていない可能性がある方
・舌側の違和感に敏感な方
・通訳、声優など職業的に発声が重要な職業の方
(一方、芸能人も舌側矯正で治療を行っている方がいるようです)
・ブラッシングが苦手で、見えにくい部位の清掃に不安が強い方
4.よくある質問(Q&A)
Q. 痛みはフルリンガルや表側と比べてどうですか?
A. 個人差はありますが、全体的な痛みの強さは大差がないとする報告もあります。初期は舌側の違和感が主訴になりやすく、数日~数週で慣れる方が多いです。
Q. むし歯・歯ぐきの腫れが心配です。
A. 舌側は見えにくい分、ブラッシングを正確にできるかがカギです。正しい清掃と定期メインテナンスでリスク低減が可能で、部位によってはう蝕リスクが必ずしも高くならないとする所見もあります。
まとめ
・上顎が裏側+下顎が表側のハーフリンガルの矯正治療は、正面からの見えにくさとワイヤー矯正の利点を両立しやすい選択肢です。
・治療開始時の一時的な発音変化・清掃の難しさは、練習と指導で乗り越えられることが多いとされています
・職業やライフスタイルなどを踏まえ、ひとりひとりに適した治療方法を検討する必要があります。気になる方は表側のワイヤー矯正、インビザラインなど複数の治療方法を取り扱っている矯正専門クリニックなどにご相談されることをお勧めいたします。
概要に関して、動画も作成いたしました。よろしければ、ご覧ください。(音声が出る場合があります)
ハーフリンガル矯正のご紹介
————————————————————————
当院では石岡市をはじめ、土浦市・水戸市・つくば市・小美玉市・かすみがうら市・鉾田市・笠間市など、茨城県内のさまざまな地域から患者さまにご来院いただいております。日本矯正歯科学会認定医と日本専門医機構矯正歯科専門医が在籍しています。
電車・お車ともにアクセスしやすく、県内広域からのご相談も歓迎しております。
石岡みらい矯正歯科 院長:丸岡亮(歯学博士)
茨城県石岡市国府4-5-4
TEL:0299-24-4118
最新情報は 公式Instagram、youtube でも発信中!ぜひフォローをお願い致します!
List of probably useful references
Rai AK, Rozario J, Parkhedkar R. Comparison of speech performance in labial and lingual orthodontics. J Orthod Sci. 2014;3(2):38-42.
Chen J, Wan J, You L. Speech and orthodontic appliances: a systematic literature review. Eur J Orthod. 2018;40(1):29-36.
Long H, Zhou Y, Pyakurel U, et al. Comparison of adverse effects between lingual and labial orthodontic treatment: A systematic review. Angle Orthod. 2013;83(6):1066-1073.
Zhai M, Yang H, Kong X, et al. Periodontal parameters in fixed labial and lingual orthodontic treatment: a narrative review. Dent J (Basel). 2022;10(10):189.
Yuan L, Zhou Y, Wang X, et al. Comparison of functional impairments and discomfort with lingual, labial, and mixed appliances during orthodontic treatment: a cross-sectional study. BMC Oral Health. 2024.
Behnaz M, Farhadian M, Gholami M. Lingual orthodontic treatment: efficacy and complications―A review. APOS Trends Orthod. 2019;9(4):227-235.
Nandakumar S, Duraipandian V, Periyasamy P. Implications of lingual orthodontics compared to conventional appliances: A review. Cureus. 2024;16.
Fujita K. New orthodontic treatment with lingual bracket and mushroom archwire appliance. Am J Orthod. 1979;76:657-675.
Malhotra Y, Narang R, Goel S. Lingual Orthodontics: History revisiting―A review. J Adv Med Dent Sci Res. 2020;8(8):115-118.
Ata-Ali F, Ata-Ali J, Ferrer-Morales M, et al. Adverse effects of lingual and buccal orthodontic techniques: a systematic review and meta-analysis. Am J Orthod Dentofacial Orthop. 2017;151(3):521-529.



