目次
歯の着色(ステイン)が気になるあなたへ|原因とホワイトニング以外の現実的な落とし方
こんにちは。茨城県石岡市、小美玉市、かすみがうら市、土浦市の矯正歯科医院、石岡みらい矯正歯科です。「最近、歯の黄ばみが気になる」「コーヒーや紅茶で着色する?」「歯磨き粉でステインは落ちる?」こうした歯の着色のお悩みについて、相談をいただくことがよくあります。
歯の着色には、表面に付く着色(外因性=ステイン)以外に、歯の内側の色の変化(内因性)によるものがあり、対応方法も異なってきます。今回は、歯の着色について概要と矯正治療中の対応方法を簡単にまとめましたので、お伝えさせていただきます。
⭐︎この記事の内容は動画にもまとめてございます⭐︎
歯の着色の基本
外因性の着色(ステイン):表面に付着するもの
歯の表面には「ペリクル」という薄い膜があり、そこに色素(クロモゲン)が沈着して着色が起きます。色素が沈着しやすい原因としてよく挙げられるのは、以下のものです。
コーヒー・紅茶・緑茶
赤ワイン
カレーなど色の強い香辛料
タバコ(紙・加熱式ともに)
一部のうがい薬/洗口液(クロルヘキシジンなど)
飲み物の着色力は研究でも比較されており、コーヒーやお茶が強いことが示されています。

内因性の変色:歯の内側から色が変わるもの
歯の色が内部から変色してしまう場合もあります。代表的なものとして、以下のものが知られています。
生まれつき、または歯の発育過程における薬剤などの影響(例:テトラサイクリン系薬剤など)
外傷などによる歯髄壊死
加齢による変化
このような内因性の原因によるものは、歯の表面を磨けばすぐ落ちるではなく、専門的なアプローチが必要になることが多くあります。

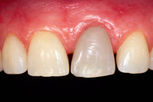
↑ 歯髄壊死による変色の例(左側の真ん中の歯)。一般的に、少し灰色みを帯びるとされています。壊死までに至らず、歯髄充血の状態でも起こります。
着色・ステインに対するアプローチ
セルフケア
ここからは、よくご質問を受ける自分で手軽にできる、セルフケアについて方法をまとめます。
①毎日の落とし残しを減らす
ステインは汚れ(プラーク)に付着しますので、そもそも膜や汚れが溜まると付きやすいです。
おすすめの方法は以下の通りです。
就寝前に最低、2~3分はしっかり磨く時間を作る
残りやすい歯と歯ぐきの境目を意識して磨く
ワイヤー矯正中は、歯ブラシに加え、タフトブラシや歯間ブラシを使う
②ステイン用歯磨き粉を使用する
手軽に効果を得られやすい方法として推奨されています。
一方、多くのステイン用の歯磨き粉は、化学的に色を分解するというより、研磨材で表面の着色を落とす発想です。研磨材や粒子設計によって摩耗の出方が変わることが報告されています。
毎日ゴシゴシ強く磨いていると、歯の表面が荒れて逆に着色しやすくなることもあります。使う際は、力を弱く、長時間磨かない(数十分も磨かない)が推奨されます。
当院では、粒子が細かく、歯の表面を傷つけにくいステイン用の歯磨き剤もご紹介しております。
③飲み物の習慣を見直す
「コーヒーや紅茶をゼロにする」というのは、現実的ではありません。そこで、極力、影響を少なくするための工夫をお示しいたします。
・だらだら飲みを減らす
歯の表面に色の濃い飲み物が接触する時間が増えるほど、歯の表面に色が沈着しやすいと考えられます。
・飲んだ後は 水をひと口飲む
色の濃い飲み物を飲んだ後は、一旦、口の中をリセットする要領で、お水を飲んで薄めるといった方法がお勧めになります。
・食後、すぐ磨けない時は、うがいだけでも行う
理想としては、食後は歯磨きをすることで、プラークやペリクルを取るのが望ましいです。状況として、難しい場合は、うがいを行うだけでも違ってきます。
プロフェッショナルケア
ここからは歯科医院で行うケアについて、まとめさせていただきます。
「歯のクリーニングでステインは落ちますか?」という質問は多いですが、専門的清掃(PMTC)で改善しやすいとされています。
特に、パウダークリーニング(エアフロー)と呼ばれる、非常に細かい粒子を水と共に歯面に当ててステインを落とす方法があります。パウダークリーニングは従来の方法と比べ、短時間で着色除去できたという報告があります。また、パウダークリーニングは、歯の表面が滑らかになるため、処置後に着色がつきにくくなる効果も期待できます。当院では、矯正治療中の衛生管理の目的で、診察ごとにパウダークリーニングによるクリーニングを実施しております。
矯正治療中の着色に対するアプローチ
ここまでは一般的な歯の着色の原因とケアについてお伝えいたしました。次に矯正治療中の方に向けた、特に知っていただきたいこと、追加で行っていただきたいセルフケアについてまとめてみます。矯正中に起こりうる歯の着色については、以下のようなものがあります。
①ブラケット周りの汚れが原因で歯に着色が生じる
特に、ブラケット周りに汚れが残りやすい傾向がありますが、その汚れに色素の沈着が起こることがあります。そのため、磨き残しが起きやすい部位を意識して、日々、ブラッシングを行うことが大切です。磨き残しの場所をピンク色に染め出して確認をする方法もあり、当院ではブラッシング指導の際に行っています。

↑ ブラケット周りの汚れのイメージ。
②歯の移動を行う目的で使用するゴム系の材料の変色
治療中に装着するゴム系の材料は、強い色素により変色が多く認められます。ゴム系の材料は一般的に診療のたびに交換していきます。定期的な来院をお勧めします。また、ブラケット自体はセラミックや金属製のものは変色が起こりにくいとされています。
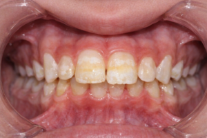
③歯の脱灰(ホワイトスポット)
ブラケット周囲はプラークが停滞しやすく、脱灰により、白くまだらな色調に変化してしまうことがあります。これを防ぐためには、きちんとしたブラッシングに加えて、フッ素洗口や定期的なプロフェッショナルケア等が推奨されます。

↑ 歯の脱灰が生じている状態のイメージ。歯の表面がまだらになってしまう状況が認められます。
⭐︎関連する記事⭐︎ ワイヤー矯正中の着色対策について
注意が必要な状況
以上のように主にステインに対してご自身でできるセルフケアを中心にお話をさせていただきました。一方で、歯の表面の問題ではなく、歯の内部の歯髄の状態など、セルフケアで改善が見込めない場合がある可能性があります。次のような症状の場合、一度、歯科医院での診察が推奨されます。
1本だけ急に黒ずんだ/灰色っぽい(外傷や神経の影響のことがあります)
表面ではなく、中から黄ばんで見える気がする
痛み・しみる・欠けた、など症状がある
矯正中に白い濁りが増えてきた(ホワイトスポットの可能性)
Q&A
Q. コーヒーや紅茶はやめないといけませんか?
A. ゼロにしなくて大丈夫です。だらだら飲みを減らす・飲後に水など、続く対策で差が出ます。着色性の比較研究でもお茶・コーヒーの影響は示されています。
Q. ステイン用歯磨き粉は毎日使って良いですか?
A. 毎日使用していただいて、差し支えありません。一方、強く磨くのは、歯の表面が磨耗してしまいますので、力を弱く、柔らかめに行うのを基本にしてください。
Q. ワイヤー矯正中でも着色は取れますか?
A. 歯の表面ステインは、クリーニング(パウダークリーニング)で改善しやすいです。矯正中はブラケット周囲の清掃が難しいので、色がつかないようにするセルフケアも大切です。
Q. ホワイトニングはいつやるのが良いですか?
A. 表面ステインが主因なら、まずは清掃とクリーニングが先です。内側の色が気になる場合はホワイトニングが選択肢になりますが、矯正中は仕上がりが均一になりにくいこともあるため、一般的には矯正終了後に進めるのが推奨されます。
————————————————————————
当院では石岡市をはじめ、土浦市・水戸市・つくば市・小美玉市・かすみがうら市・鉾田市・笠間市など、茨城県内のさまざまな地域から患者さまにご来院いただいております。日本矯正歯科学会認定医と日本専門医機構矯正歯科専門医が在籍しています。
電車・お車ともにアクセスしやすく、県内広域からのご相談も歓迎しております。
石岡みらい矯正歯科 院長:丸岡亮(歯学博士)
茨城県石岡市国府4-5-4
TEL:0299-24-4118
最新情報は 公式Instagram、youtube でも発信中!ぜひフォローをお願い致します!
List of probably useful references
Watts A, Addy M. Tooth discolouration and staining: a review of the literature. Br Dent J. 2001;190(6):309-316. doi:10.1038/sj.bdj.4800959.
Sulieman M. An overview of tooth discoloration: extrinsic, intrinsic and internalized stains. Dent Update. 2005;32(8):463-471. doi:10.12968/denu.2005.32.8.463.
Carpenter GH, Pramanik R, Proctor GB. An in vitro model of chlorhexidine-induced tooth staining. J Periodontal Res. 2005;40(3):225-230. doi:10.1111/j.1600-0765.2005.00791.
Sarembe S, et al. Staining potential of common beverages using an in vitro staining and brushing model. Eur J Dent. 2022.
Wang J, et al. Drug-induced tooth discoloration: An analysis of the US FDA adverse event reporting system. Front Pharmacol. 2023.
Kumar A, et al. Drug-induced discoloration of teeth: an updated review. Clin Pediatr (Phila). 2012.
Enax J, et al. Toothpaste abrasion and abrasive particle content: correlating profilometry with RDA. Dent Mater J. 2023.
Vural UK, et al. Effects of charcoal-based whitening toothpastes on human enamel: color, roughness, microhardness (in vitro). Clin Oral Investig. 2021.
Osmanaj F, et al. Abrasion behavior of different charcoal toothpastes on human dentin when using electric toothbrushes. Clin Oral Investig. 2022.
Hongsathavij R, et al. Clinical comparison of the stain removal efficacy of two air polishing powders. Clin Cosmet Investig Dent. 2017.
Sigwart L, et al. Colour changes and surface roughness after air-polishing for tobacco stain removal. Int Dent J. 2025.
Talic NF, Almudhi AA. The effect of dietary pigmentation on the esthetic appearance of clear orthodontic elastomeric modules. J Orthod Sci. 2016;5(2).
da Silva VD, et al. Influence of food colorings on esthetic orthodontic elastomeric ligatures. J Appl Oral Sci. 2016.
Mazhari M, et al. Color stability of orthodontic elastomeric ligatures in the oral environment: a clinical trial. Front Dent. 2025.
Khoroushi M, Kachuie M. Prevention and treatment of white spot lesions in orthodontic patients. Contemp Clin Dent. 2017;8(1):11-19.



