こんにちは。石岡みらい矯正歯科の丸岡亮です。今回は歯並びのご相談をよく受ける「八重歯」について、少し解説をしていきたいと思います。

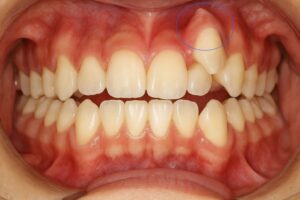
↑ 八重歯の印象は人それぞれですよね
「八重歯(やえば)」は日本では昔から「かわいい」イメージもあります。しかし、歯科的には犬歯の位置と役割がとても重要です。今回は、八重歯とはというところから、犬歯の正しい位置と役割、八重歯のデメリット、治療法、そして“見た目”への印象の違いまで、エビデンスを交えてお伝えしたいと思います。
1. 八重歯とは
犬歯(前から3番目の尖った歯)が他の歯より外側・高い位置に飛び出して見える状態を指します。幼さ・親しみやすさの象徴として捉えられてきた面もありますが、歯科医学的に「犬歯の萌出位置のずれ(唇側/口蓋側の異所萌出)および叢生」の一形態です。

2. 犬歯の「正しい位置」とそのメリット
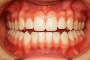
犬歯は咬み合わせにとても重要な役割を果たします。根っこも長く、太くしっかりしている歯です。長い根と周囲の厚い歯根膜で横方向の咬む力に強く、横に動かして噛むときに咬み合わせを誘導する(犬歯誘導)を担います。これにより奥歯(臼歯)や修復物の摩耗・破折リスクを減らし、咬合の長期安定に寄与するとされています。つまり、他の歯の負担を減らし、歯の健康を保つ上でも正しい位置にあることは重要になります。
また犬歯の先端高さ・傾きが適正だと、笑顔の調和が高まるという審美研究があります。逆に尖り過ぎや過度な露出は不快に評価されやすい傾向もあります。

↑ 正しい位置に配列された犬歯
3. 八重歯の欠点は?
・清掃不良と歯肉炎リスク:叢生は汚れ(プラーク)が溜まりやすく、歯肉炎や着色の温床になってしまいやすいです。
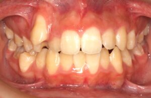
・歯肉退縮が生じやすい傾向があります。

↑ 右上の犬歯は歯肉が下がってしまっています
・隣接歯(特に側切歯)への根吸収リスク:犬歯が口蓋側や異所から萌出・埋伏するケースでは、側切歯の外部吸収が高頻度で生じ得ます(報告では最大で約50%)。早期の画像評価が重要。
4. 八重歯について「みんなの印象」は?
日本では八重歯を可愛いと捉える傾向が報告されてきました(国・職種で評価は分かれます)。ただし、尖りすぎた犬歯や過度の高さズレは不快に評価されやすいとの知見もあります。
要するに「多少の個性を好ましく感じる層」と「整った歯列を好む層」が併存しています。
院長の個人的な見解ですが、芸能人を見てみると若いうちは八重歯があった方も、気がつくと綺麗に治っている場合が多いように思います。私は医学的な見知は置いておいて、個性として八重歯は良いと思っていますが、治している人が多いのは、芸能界では結局は整った歯列の方が、周囲に好意的に受け入れられやすいという背景もあるのではないかと推察しています。

↑ 正しい位置に犬歯があると美しいと評価されることが多いようですね
5. 八重歯の治し方(年齢・リスクに応じた選択)
①小児~混合歯列のリスク評価と早期介入
レントゲン/CTで位置を把握し、八重歯になりそうなリスクがある場合は、あらかじめ予防するように、子供の歯の抜歯を行い自然に正しい位置に萌出するのを促進することがあります。成功率は報告により差がありますが、早期診断が鍵とされています。
また、必要に応じてスペース確保を併用します。
②永久歯列・成人に行う「本格矯正」
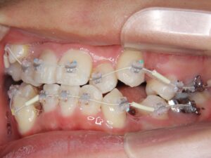
ワイヤー矯正/アライナー矯正での配列を行います。その際は並べるための場所を作ります。小臼歯の抜歯、拡大、大臼歯を後ろに送り込む遠心移動などを状況に応じて選択します。

↑ 事例の写真です。歯肉退縮が起きにくいように弱い力で配列をするようにブラケットとワイヤーに工夫を施します。
6. いつ治療を考えるべき?
八重歯は見た目だけでなく、ブラッシングが難しい(清掃性の悪化)、歯茎が腫れる(歯肉炎)、歯茎が下がってしまう(歯肉退縮)、隣の歯の根っこへの影響(歯根吸収を誘発)、咬み合わせの不調和がある場合は治療メリットが大きくなります。自然と生えてくることがなく歯茎の中に埋まっている状態(埋伏)の疑いがある場合は早期画像診断(パノラマ/必要に応じCBCT)を推奨します。

↑ 八重歯をしっかり磨くためにはかなり上の方までブラシを当てる必要があり少し大変です
7. よくある質問
Q. 可愛い八重歯は残してもいいですか?
A. 清掃性や隣の歯への影響などのリスクが低く、機能が保てるなら経過観察も選択肢かもしれません。ただしリスクは個々で異なるため、画像評価と定期チェックが欠かせません。
Q. アライナーでも治せますか?
A. 多くの叢生は可能。ただし埋伏犬歯の牽引などはワイヤー併用が有利な場面があります。術式選択は症例難易度と3D画像所見で決めます。
Q. 抜歯は必要?
A. 必要なことも、不要で済むこともあります。歯列弓の幅と歯の幅のバランス、横顔や口元の突出感、治療後の安定性を総合評価(診断)をして必要な場合は抜歯をします。
————————————————————————
当院では石岡市をはじめ、土浦市・水戸市・つくば市・小美玉市・かすみがうら市・鉾田市・笠間市など、茨城県内のさまざまな地域から患者さまにご来院いただいております。日本矯正歯科学会認定医と日本専門医機構矯正歯科専門医が在籍しています。
電車・お車ともにアクセスしやすく、県内広域からのご相談も歓迎しております。
📍 石岡みらい矯正歯科 院長:丸岡亮(歯学博士)
茨城県石岡市国府4-5-4
TEL:0299-24-4118
👉 最新情報は 公式Instagram でも発信中!ぜひフォローをお願い致します!
List of probably useful references
Ericson S, Kurol J. Early treatment of palatally erupting maxillary canines by extraction of the primary canines. Eur J Orthod. 1988;10(4):283-295.
Bazargani F, et al. Effect of interceptive extraction of deciduous canine on palatally displaced canine. Eur J Orthod. 2013;35(5).
Almasoud NN. Extraction of primary canines for interceptive orthodontic treatment of palatally displaced canines. Saudi Dent J. 2017;29(1).
Becker A. Etiology of maxillary canine impaction: A review. Am J Orthod Dentofacial Orthop. 2015;148(4):557-567.
Bjerklin K, et al. Maxillary incisor root resorption induced by ectopic canines. Eur J Orthod. 2011;33(6).
Alemam AA, et al. Incisor root resorption associated with palatally displaced canines. Am J Orthod Dentofacial Orthop. 2020;158(6).
Helal N, et al. Assessment of root resorption on lateral incisors after traction of impacted canines. Front Dent Med. 2024.
Færøvig LF, et al. Closed vs open surgical exposure of palatally displaced canines: RCT (early outcomes). Am J Orthod Dentofacial Orthop. 2025.
Kermanshah H, et al. Canine rise method and occlusal protection. Case Rep Dent. 2022.
Aldowish AF, et al. Occlusion and long-term success of dental treatment. Clin Cosmet Investig Dent. 2024.
Schwefer N, et al. Esthetic perception of different canine features. Clin Exp Dent Res. 2022.
de Paiva TT, et al. Influence of canine vertical position on smile esthetics. Am J Orthod Dentofacial Orthop. 2018.
Parrini S, et al. Laypeople’s perceptions of frontal smile esthetics: systematic review. 2024.
Litsas G, et al. Early displaced maxillary canines: etiology & interceptive management review. J Clin Pediatr Dent. 2011.
Sathyanarayana HP, et al. Mandibular canine impaction review. J Pharm Bioallied Sci. 2023.


