こんにちは。石岡みらい矯正歯科の丸岡亮です。
今回は矯正治療中のオーラルケア、特に歯と歯の間の清掃方法についてお伝えしたいなと思います。
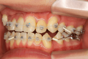
ワイヤー矯正治療中は、ブラケット、ワイヤー、バンドなどが口腔内に加わり、歯ブラシだけでは「歯と歯の間」「装置の近く」に付着した汚れ(プラーク)を完全に取り除くのが難しくなります。 歯と歯の間の部位に汚れが残ると、虫歯や歯肉トラブルのリスクが高まるため、日々のケアをひと工夫することが非常に大切です。
歯と歯の間の汚れはなぜ取りにくいか
装置によって通常よりも清掃が難しい死角ができ、細菌の付着・停滞が起こりやすくなります。
結果として、歯と歯の間に見えない汚れが残ってしまうことが少なくありません。

↑ 矯正治療中はワイヤーやブラケットのみではなく、色々なものを組み合わせます。その分、磨き方が難しくなってしまいます
歯と歯の間の汚れをそのままにするとどうなるか
歯と歯の間にプラークが残ったままだと、
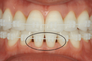
虫歯(特に隣接面虫歯・ホワイトスポット形成)を起こしやすい
歯肉炎・歯周病の進行リスクが上がる(歯肉の腫れ・出血・歯肉退縮など)
矯正治療中に歯肉が炎症を起こすと、矯正の進行に影響を与える可能性も そのため、装置装着中だからこそ「歯と歯の間の清掃習慣」を強化する必要があります。

↑ 歯と歯の間にむし歯ができやすくなります
「歯と歯の間」の清掃にはフロスが重要?
通常、歯と歯の間の清掃でまず想起されるのがフロス(デンタルフロス)です。
しかし、矯正装置があると次のような課題があります:
ワイヤー下やブラケット周囲を通す時にフロスが引っかかりやすい
通しにくいために「省略」または「雑に済ませてしまう」ことが起きやすい
力を入れて通すと歯肉を傷つける恐れがある そのため、矯正中は「通常のフロス通し」がかなりハードルの高いケアになりがちです。

↑ フロスが最も有効ですが、通すのは難しいですよね
代替方法として“歯間ブラシ”を使う方法。しかし注意も必要
そこで代替として「歯間ブラシ(インターデンタルブラシ)」を使う方法があります。ワイヤーなど装置の隙間を通すことができれば、比較的操作しやすい利点があります。
ただし、以下の注意点があります:
歯間ブラシの“サイズ選び”が重要。不適切なサイズ(太すぎ・細すぎ)を使うと歯茎(歯肉)を傷つけたり、無理に通して歯肉退縮・ブラックトライアングル(歯間の隙間が暗く見える状態)を生じる原因になることもあります。
ワイヤー矯正中は歯間の隙間形態が通常とは異なる場合もあるので、歯間ブラシの“通し方・角度”を誤ると歯肉に余計なダメージを与えてしまいます。
歯の隙間がほとんどないケースでは、歯間ブラシの挿入自体が困難なこともあります。

↑ 歯肉を傷つけるとブラックトライアングルの原因にもなりかねません
当院のおすすめケア:
歯茎を傷つけにくい“きめ細やかな”ブラシの使用
当院では、ワイヤー矯正中の患者さんに以下のようなケア法をお勧めしています。
装置のすきま・歯間に通しやすく、かつ歯肉を傷めにくい、きめ細やかな歯間ブラシ(商品名:CURAPROX〈クラプロックス〉歯間ブラシ)を推奨しています。
基本的に「1回/歯と歯の間に通すだけ」で十分という考え方になります。1回きちんと通してプラークを物理的に除去することで、毎日のルーチンが継続しやすくなります。
歯の隙間は個人差があります。そこで当院では、専用の器具でその隙間のサイズを測定し、最適な歯間ブラシのサイズを患者さん毎に選定できる体制を整えています。ご希望の方はスタッフまでお気軽にお申し出ください。


↑ 見た目は普通の歯間ブラシですが、使ってみると、きめ細やかさが実感できます
クラプロックス(CURAPROX)歯間ブラシの利点・おすすめポイント
当院で推奨しているクラプロックス歯間ブラシについて、利点・おすすめポイントを以下に整理します。
・細め・柔らかめのブラシ毛・ワイヤー構造:歯間・装置まわりのデリケートな清掃に適しており、歯肉を傷つけにくい設計です。
・多サイズの展開:歯間の幅や装置の形態に合わせて、適切なサイズを選びやすいため「無理に通す」ことによる歯肉ダメージを回避しやすい。
・通しやすさ:装置が入っている矯正治療中でも比較的スムーズに歯と歯の間にアクセスできる設計・形状。これにより「清掃習慣が継続しやすい」というメリットがあります。
・1回通すだけで効果的な考え方:毎回何度も往復させるよりも、丁寧に1回通してプラークを物理的に除去する方が、歯肉や装置に余計な負担をかけずに済むという当院の経験にも基づくおすすめです。
具体的な通し方・注意点
装置がある上顎・下顎の歯列では、まずワイヤー下やブラケット周辺の清掃を意識してください。
適切なサイズの歯間ブラシを選び、歯と歯の間(歯頚部~装置下部)にブラシを静かに挿入します。無理に押し込んだり、強くこすったりしないようご注意ください。
通し終わったら、歯肉(歯茎)に出血・痛みがないか確認しましょう。もし歯肉が腫れていたり、頻繁に出血がある場合はご相談ください。
通す回数は「1回/歯間」で十分です。装置がある分だけ普段より丁寧に通すことを意識し、終わったら歯ブラシで装置周囲を仕上げるようにしてください。
定期的な来院時に、当院で歯間の隙間の状態をチェックして、最適なサイズ・通し方をアドバイスいたします。
以下、公式サイトの動画になります。
まとめ
ワイヤー矯正中でも、歯と歯の間の清掃をおろそかにせず、いつも以上に意識していただくことで、虫歯・歯肉トラブル・装置トラブルを予防できます。
当院では、クラプロックス歯間ブラシをはじめ、お一人お一人の歯間サイズに合った清掃器具の選定・通し方の指導を行っております。
矯正治療中だからといって「清掃を諦める」のではなく、「装置があるからこそ丁寧に」という気持ちを大切にすると良いのではないかと思います。
何か不安な点や「うまく通せない」と感じた時は、遠慮なく当院スタッフ・担当歯科医師までご相談ください。
————————————————————————
当院では石岡市をはじめ、土浦市・水戸市・つくば市・小美玉市・かすみがうら市・鉾田市・笠間市など、茨城県内のさまざまな地域から患者さまにご来院いただいております。日本矯正歯科学会認定医と日本専門医機構矯正歯科専門医が在籍しています。
電車・お車ともにアクセスしやすく、県内広域からのご相談も歓迎しております。
石岡みらい矯正歯科 院長:丸岡亮(歯学博士)
茨城県石岡市国府4-5-4
TEL:0299-24-4118
最新情報は 公式Instagram でも発信中!ぜひフォローをお願い致します!
List of probably useful references
Imai PH, Yu X, MacDonald D. Comparison of interdental brush to dental floss for reduction of clinical parameters of periodontal disease: a systematic review. Can J Dent Hyg. 2012;46(1):63-78.
Worthington HV, Clarkson JE, Ostwald M, et al. Home use of interdental cleaning devices, in addition to toothbrushing, for preventing and controlling gum diseases and dental caries. Cochrane Database Syst Rev. 2019;4:CD012018.
Sambunjak D, Nickerson JW, Poklepovic T, Johnson TM, Imai P. Flossing for the management of periodontal diseases and dental caries in adults. Cochrane Database Syst Rev. 2011;12:CD008829.
Schifferle RE, Ross NM, Croffoot JW. The efficacy of interdental brushes on plaque and parameters of periodontal inflammation: a systematic review. Int J Dent Hyg. 2008;6(4):251-261.
Hamlin C, Gadsden RH, Mackay F, et al. Use of a mouthrinse containing essential oils in addition to tooth-brushing and flossing on interproximal plaque, gingivitis and bleeding: a 12-week, supervised, randomized, single-blind clinical trial. J Dent Hyg. 2022;96(3):21-30.


