LINEで予約 24時間Web予約

LINE初診相談

初診WEB予約

電話予約

矯正治療と親知らず:歯並びは悪くなる?抜くタイミングは?【茨城県石岡市の矯正歯科医院・石岡みらい矯正歯科】 (2026年1月10日)

 

「親知らずで歯並びが悪くなるって本当?」

「矯正するなら親知らずはいつ抜くのが正解?(矯正前?矯正中?矯正後?)」

「親知らずを抜いた後、矯正治療に支障はある?」

投稿:2026/1/10   最終更新:2026/4/26

 

こんにちは。茨城県石岡市・小美玉市・かすみがうら市・土浦市の矯正歯科医院、石岡みらい矯正歯科 です。

 

今回は、患者さんから質問を受けることの多いテーマである、歯並びと親知らずについて、整理してお伝えさせていただきます。

 

⭐︎この投稿は動画でもご覧いただけます⭐︎

 

 

親知らずが歯並びに影響を及ぼすことはある?

 

 

結論から言うと、影響することはある、とされる一方で、よく言われる 「親知らず=前歯がガタガタになる原因」 については、はっきりした結論が出ていません。

 

 

叢生との関連

 

「親知らずが生える力で前歯が押されて、下の前歯がガタガタ(下顎前歯叢生)になる」という説明を見かけますが、過去の調査では、 親知らずを予防的に抜けば前歯のガタつきを防げる、と言い切れる根拠は強く出ていません。ランダム化比較試験では、前歯の混雑を防ぐ目的での親知らず抜歯は正当化できない、という結論が示されています。

また、系統的レビュー(複数研究のまとめ)でも、親知らずと矯正後の下顎前歯の後戻り(ガタつき)の関係は、結論が割れやすく、限定的と整理されています。

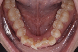
さらに、成長や加齢に伴う「自然な変化」として、親知らずの有無だけでは説明できない 遅発性の前歯叢生も知られています。

↑ 下顎前歯の叢生は、親知らずだけではなく、顎の骨の幅の変化など、色々な要因が影響を及ぼしています

 

 

奥歯との関連

 

臨床的に見逃したくないのは、一本手前の奥歯(第ニ大臼歯)に起きるトラブルです。

 

下顎:親知らずが原因で「手前の奥歯」が虫歯になる(第ニ大臼歯の遠心う蝕)

とくに、斜め(近心傾斜)に埋まっている親知らずは、手前の奥歯の後ろ側が磨きにくく、虫歯リスクが上がります。複数の調査で、第ニ大臼歯の遠心う蝕の有病率や、リスクが高い埋まり方(近心傾斜など)が示されています。

↑ このように前に倒れていて、間に汚れが溜まりやすい場合は、注意が必要です

 

 

下顎:手前の奥歯の歯根吸収(外部吸収)が起こることがある

親知らずが第ニ大臼歯に接触している場合、CBCT(歯科用CT)で初めて分かるような、歯根吸収が見つかることがあります。この吸収によって、第二大臼歯の歯根が一部失われてしまうと、回復は見込めず、今後の歯の保存に影響が出ることがあります。

↑ 親知らずが第二大臼歯に接触し、歯根吸収を及ぼすことがあります(イメージ)

 

 

上顎:親知らずの位置により、第ニ大臼歯の清掃不良・虫歯・歯周トラブル

上顎でも、親知らずの位置や萌出状態によって清掃性が落ち、炎症や虫歯のきっかけになることがあります。

また、文献的にははっきりとした報告は少ないですが、第二大臼歯が外側にずれてしまうなど、咬み合わせへの影響が出る症例が多いと、個人的には感じています。

↑ 保定観察中に親知らずに押されてしまい、第二大臼歯が外側にずれる症例を経験しています

 

 

親知らずの抜歯のタイミング

 

矯正治療を検討する際に、親知らずの抜歯のタイミングで悩まれている方も多く拝見しています。お勧めする時期は、「目的」と「状態」で変わってきます。

 

 

矯正治療前に抜くことが多い場合

 

親知らず周囲に 腫れ・痛み(智歯周囲炎) を繰り返す

第ニ大臼歯に 虫歯や歯根吸収の疑い がある

矯正の計画上、将来的に抜歯する可能性が高い(清掃性が悪い、水平埋伏など)

 

こうした場合は、矯正装置の装着前に整理しておくと、治療がスムーズです。

(ただし急いで抜くのが常に正解ではなく、リスク評価が必要です。)

↑ 特に智歯周囲炎(痛みを伴う場合)は、早めにかかりつけ歯科に相談するのをお勧めいたします

 

 

矯正治療中に抜くことが多い場合

 

矯正中に親知らずが原因で 奥歯が磨きにくくなった、腫れた

移動計画が進み、抜歯の適切なタイミングが来た

口腔外科の先生と相談して「今なら治療に影響が少ない」と判断できた

 

矯正治療中でも抜歯は可能です。

一方で、抜歯直後は口が開けにくい(開口障害)・腫れ・痛みが出やすい時期があるため、調整日(ワイヤー交換やアタッチメント処置など)と近すぎる日程は避けるのが無難です。

 

矯正治療後(保定中)に抜くことが多い場合

 

まず矯正を優先し、親知らずは経過観察していた

仕上がった後に、親知らず由来のトラブル(虫歯・炎症・清掃不良)が出てきた

将来のリスクを踏まえて、抜歯を検討した

 

矯正後に抜くことも普通にあります。

「矯正が終わったら必ず親知らずを抜くべき?」という質問は多いですが、一律ではありません。矯正後の下顎前歯の後戻りと親知らずの関連は、多くの研究調査でも解釈が分かれます。

 

 

親知らず抜歯後、矯正治療に差し障りはある?

 

矯正治療そのものができなくなることは基本的にありません。

 

ただし抜歯後しばらくは

 

口が開けづらい

腫れて頬が痛い

咀嚼がつらい

 

といった理由で 受診(調整)を避けた方がよい時期があります 

当院では目安として、術後の痛みや開口が落ち着いてから(個人差あり)調整日を組むことをおすすめしています。

※抗菌薬や鎮痛薬の影響、抜歯の難易度(埋まり方)でも回復は変わります。

 

また下顎の親知らずでは、まれに 下歯槽神経(下唇のしびれ) のリスク評価が重要になります。年齢や埋伏方向、画像所見がリスク因子として整理されています。

 

 

親知らずが使える場合もあります

 

親知らず=不要、ではありません。

たとえば、

 

第一大臼歯を過去に失っていて、親知らずを活かす可能性がある

矯正計画によって、親知らずの萌出スペースや位置が改善する可能性がある

 

実際、矯正治療(特に小臼歯抜歯を伴う治療)で、第三大臼歯の萌出スペースや位置が変化し得ることが報告されています。

「抜く・抜かない」は二択ではなく、将来使えるかもしれない、という視点も含めて、検査して判断するのが現実的です。

 

当院では一般的に、

パノラマ・セファロ(必要に応じてCT)で位置・リスク評価

第ニ大臼歯への影響(虫歯/歯根吸収/歯周)をチェック 

抜歯リスク(神経・上顎洞など)も含めて説明 

矯正の治療計画(動かし方・装置・期間)に合わせて抜歯時期を調整

という流れで決めています。

 

 

Q & A

 

Q. 親知らずは歯並びを必ず悪くしますか?

A.必ず、ではありません。

前歯がガタガタになる原因は多因子で、親知らずだけで説明できないことも多いです。

 

Q. 矯正するなら親知らずは全員抜いた方がいい?

A.全員ではありません。

トラブルが出ている、あるいは、出る可能性が高い場合は抜歯が有利なことがありますが、無症状の埋伏歯をどう扱うかは議論があり、経過観察という選択もあります。

 

Q. 矯正中に親知らずが痛くなったらどうすれば?

A.まずは状況確認です。腫れが強いときは無理せず、口腔外科やかかりつけ歯科と連携して対応します。調整日は変更した方がよいこともあります。

 

Q. 親知らずを抜いた後、矯正の調整はいつなら大丈夫?

A.個人差がありますが、目安として、痛み・開口が落ち着いてから。抜歯直後は開けづらさが出やすいため、調整日と近接させないのが無難です。

 

Q. マウスピース矯正(インビザライン等)でも親知らずは関係ありますか?

A.関係あります。

装置の種類よりも、親知らずの位置・炎症・清掃性・第ニ大臼歯への影響の方が重要です。

 

Q. 親知らずを残すなら、何を気をつければいい?

A.定期的なチェックが大切です。特に「斜めに埋まっている」「第2大臼歯の後ろが磨きにくい」タイプは、虫歯や歯根吸収を早期に拾う必要があります。

 

まとめ

 

・親知らずが 前歯を押して叢生になる という話は、強い根拠があるとは言いにくい 

・ただし、親知らずが、第ニ大臼歯の虫歯・歯根吸収 などに関与することはあり得る 

・抜歯のタイミングは 矯正前・中・後いずれもあり得るが、状態と目的で決める

・抜歯後は一時的に 開口障害・痛み があり得るので、受診日は調整すると安心 

・「抜く/残す」どちらも選択肢。検査して、リスクを見える化して決めるのが大切

 

⭐︎関連ページ⭐︎

当院の初診相談の流れについて【茨城県石岡市の矯正歯科クリニック・石岡みらい矯正歯科】

 

本格矯正治療について 【茨城県石岡市の矯正歯科専門医院・石岡みらい矯正歯科】

 

————————————————————————

当院では石岡市をはじめ、土浦市・水戸市・つくば市・小美玉市・かすみがうら市・鉾田市・笠間市など、茨城県内のさまざまな地域から患者さまにご来院いただいております。日本矯正歯科学会認定医と日本専門医機構矯正歯科専門医が在籍しています。

電車・お車ともにアクセスしやすく、県内広域からのご相談も歓迎しております。

石岡みらい矯正歯科 院長:丸岡亮(歯学博士)

茨城県石岡市国府4-5-4

TEL:0299-24-4118

最新情報は 公式Instagram、youtube、TikTok でも発信中!ぜひフォローをお願い致します!

 

                 

 

List of probably useful references

Lyros I, et al. The Effect of Third Molars on the Mandibular Anterior Crowding Relapse after Orthodontic Treatment: A Systematic Review. Dent J (Basel). 2023;11(5):131.

Harradine NW, Pearson MH, Toth B. The effect of extraction of third molars on late lower incisor crowding: a randomized controlled trial. Br J Orthod. 1998;25(2):117-122. 

Žigante M, Pavlić A, Morelato L, Vandevska-Radunovic V, Spalj S. Presence and Maturation Dynamics of Mandibular Third Molars and Their Influence on Late Mandibular Incisor Crowding: A Longitudinal Study. Int J Environ Res Public Health. 2021;18(19):10070. 

Cheng HC, Peng BY, Tam KW. Impact of third molars on mandibular relapse in post-orthodontic patients: A meta-analysis. J Dent Sci. 2018;13(1):1-7. 

Dyer KC, Vaden JL, Harris EF. Relapse revisited―again. Am J Orthod Dentofacial Orthop. 2012;142(2):221-227. 

Little RM. The irregularity index: a quantitative score of mandibular anterior alignment. Am J Orthod. 1975;68(5):554-563.

Ghaeminia H, et al. Surgical removal versus retention for the management of asymptomatic disease-free impacted wisdom teeth. Cochrane Database Syst Rev. 2020;5:CD003879.

Revuelta-Cortés P, Cortés-Bretón Brinkmann J, Argandoña-Flores M, et al. Prevalence of distal caries in second molar associated with impacted mandibular third molar and the position and level of impaction: a systematic review and meta-analysis. Clin Oral Investig. 2025;29(1):83. 

Ma Y, Mu D, Li X. Risk factors for root resorption of second molars with impacted third molars: a meta-analysis of CBCT studies. Acta Odontol Scand. 2023;81(1):18-28.

Oenning ACC, et al. External Root Resorption of the Second Molar Associated with Third Molar Impaction: A Comparison Using Cone-Beam Computed Tomography. J Oral Maxillofac Surg. 2014.

Sarikov R, Juodzbalys G. Inferior alveolar nerve injury after mandibular third molar extraction: a literature review. J Oral Maxillofac Res. 2014;5(4):e1.

American Association of Oral and Maxillofacial Surgeons. Management of Third Molar Teeth (White Paper). AAOMS; 2024.

National Institute for Health and Care Excellence (NICE). Guidance on the Extraction of Wisdom Teeth (TA1). NICE; 2000.

Miclotte A, Grommen B, Cadenas de Llano-Pérula M, et al. The effect of first and second premolar extractions on third molars: A retrospective longitudinal study. J Dent. 2017;61:55-66. 

Zhu J, et al. Comparison of postoperative outcomes between envelope and triangular flaps after mandibular third molar surgery: A systematic review and meta-analysis. J Oral Maxillofac Surg. 2020.