こんにちは。茨城県石岡市、小美玉市、かすみがうら市、土浦市の矯正歯科医院の石岡みらい矯正歯科の丸岡です。
矯正治療を始めるとご決断いただいた後、 「どのように治療が進むのか」「どれくらいの期間がかかるのか」「痛みや負担はどれくらいか」 といったご不安やご質問を多くお伺いします。
特に、ワイヤー矯正(固定式のブラケット+ワイヤー)をご検討中の方に向けて、今回は 抜歯症例を含むワイヤー矯正治療の大まかな流れを概要としてご紹介いたします。
安心して治療に臨んでいただくための「地図」として、ご覧いただけますと幸いです。

⭐︎この投稿の概要(動画)⭐︎
装置装着までの概要
1.装置装着までの概要
①初診相談 → 矯正学的検査 → 診断
こちらが実際に装置をつける前の、治療方針を決めるまでのステップです。ここまでで数回のご来院と、1ヶ月程度かかりますが、矯正治療はこの診断が治療の質を左右するとも言われています。
⭐︎関連する投稿⭐︎
②主に抜歯が必要な症例の場合: 加強固定装置の装着
抜歯症例(がたがたが強い、口元の突出感が強い、歯列弓が狭いなど)では、抜歯をする前に、大臼歯の固定を強める「加強固定」が必要になります。矯正用アンカースクリュー、上顎の天井部分につける固定用のワイヤー(トランスパラタルアーチなど)を用いて、確実な大臼歯の固定を確保します。

↑ 上顎にホールディングアーチつきパラタルバーを装着したところ
⭐︎関連する投稿⭐︎
③便宜抜歯(必要な場合)
診断に基づき、上顎または下顎、あるいは両顎の抜歯を行うことがあります。これにより歯を移動するためのスペースを確保します。
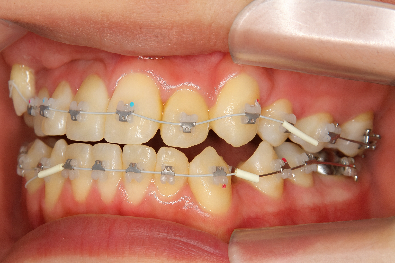
④装置(ブラケット+ワイヤー)の装着
準備が整ったら、いよいよ固定装置をお口の中に設置します。ワイヤー矯正のスタートになります。

⭐︎関連する投稿⭐︎
⭐︎関連する動画⭐︎矯正装置の見た目について(目立つの?)
ワイヤー矯正の装置装着後の流れ
2.ワイヤー矯正の装置装着後の流れ
①レベリング
歯列のがたがたをとり、綺麗な歯列弓に整えて行く初期段階です。細いワイヤーから始まり、徐々に太めのしっかりとしたワイヤーへ変えていきます。この段階は、のちの治療に向けて、しっかりとしたワイヤーを装着するための段階です。文献を調べるとおよそ4から6ヶ月くらいかかるとのことです。

↑ 下顎の前歯のがたがたが解消しています。この段階をレベリングと呼びます。
② 犬歯の後方移動
犬歯を正しい位置に移動させる治療です。犬歯のみを後方へ移動させて治療を行うことが多いです。あまり知られていませんが。犬歯は咬み合わせに重要で、咬み合わせのハンドルのような役割をしています。その位置決めが治療の精度と期間を大きく左右します。

↑ 前歯と奥歯の間にある犬歯(および小臼歯)を移動しています
③前歯の後方移動
スペースを使って前歯を後ろへ動かしたり(突出の改善)、上下前歯の前歯の咬み合わせ、傾斜、前後関係を整えます。抜歯スペースを閉鎖する工程でもあります。

④最終的な微調整・仕上げ
咬み合わせや細かい歯のずれなどを細かく整え、保定へ移行できる状態を作ります。
⑤保定(装置除去後)
装置が取れた後、歯並び・かみ合わせを安定させるためにリテーナーを使用します。

↑ 下顎の保定装置の例(オーソデント社)
この流れは、あくまで大まかなものであり、実際には患者さんの歯列状態、抜歯の有無、骨格条件、協力度、年齢などにより前後、並行して進むこともあります。
また。抜歯症例か非抜歯症例かでスペースの使い方・装置の種類・移動スピードが異なります。
ワイヤー矯正では 動的な移動期(レベリング→移動→仕上げ)が比較的長期間を要します。例えば、犬歯の後方移動に関しては平均約5か月程度かかったという報告があります。
各段階において、患者さんご自身のブラッシング、オーラルケア、生活習慣も治療の質、期間、快適度に大きく影響します。当院では矯正中の虫歯予防・ブラッシング指導をしっかり行います。
⭐︎関連する記事⭐︎
Q&A
Q&A
Q. ワイヤー矯正 装置装着後 どれくらい痛いですか?
A 装置を装着した直後は、歯に締め付けられている感じや軽い浮き上がり感が数日続くことがありますが、通常は1〜2週間で慣れていきます。
レベリング→犬歯移動→前歯の移動の段階などにも歯が動く感覚や咬む時の違和感が出ることがあります。
痛みの程度や期間には個人差があります。
⭐︎関連する記事⭐︎
まとめ
まとめ
今回は、ワイヤー矯正治療の 概要的な流れ をご紹介しました。初診・検査・診断を超えて、抜歯を要する症例では加強固定→抜歯、そして装置装着→レベリング→犬歯の後方移動→前歯の後方移動→最終仕上げ→保定というステップとなります。
もちろん個別の治療計画・装置の種類・患者さんの状態・ご協力度によって進み方は変わります。
今後、各ステップ(例:レベリング/犬歯の後方移動/前歯の後方移動)それぞれについて、何をしているか、いつ頃何が起きるか、注意すべきことなどをわかりやすく解説して行く予定です。
⭐︎関連ページ⭐︎
————————————————————————
当院では石岡市をはじめ、土浦市・水戸市・つくば市・小美玉市・かすみがうら市・鉾田市・笠間市など、茨城県内のさまざまな地域から患者さまにご来院いただいております。日本矯正歯科学会認定医と日本専門医機構矯正歯科専門医が在籍しています。
電車・お車ともにアクセスしやすく、県内広域からのご相談も歓迎しております。
石岡みらい矯正歯科 院長:丸岡亮(歯学博士)
茨城県石岡市国府4-5-4
TEL:0299-24-4118
最新情報は 公式Instagram、youtube でも発信中!ぜひフォローをお願い致します!
List of probably useful references
Gravina MA, Brunharo L, et al. Clinical evaluation of dental alignment and leveling with three different types of orthodontic wires. Dental Press J Orthod. 2013;18(3):121-130.
Moresca R, et al. Effects of nickel-titanium and stainless steel leveling wires in orthodontic treatment. Dental Press J Orthod. 2011;16(3):51-58.
Theerasopon P, et al. Separation of aligning and leveling stages to control mandibular incisor proclination. Scientific Reports. 2021;11:20881.
Sultana S, Ab Rahman N, Zainuddin SL A, Basaruddin A. Effect of piezocision procedure in levelling and alignment stage of fixed orthodontic treatment: a randomized clinical trial. Sci Rep. 2022;12:6230.
Narita S, et al. A novel straight-wire edgewise system to shorten overall treatment time: The JET system. Orthod Sci. 2024.
Inauen DS, et al. Pain profile during orthodontic levelling and alignment with fixed appliance treatment — systematic review. Clin Oral Investig. 2023;27:3189-3198.
Wazwaz F, Seehra J, Carpenter GH, Papageorgiou SN, Cobourne MT. Duration of canine retraction with fixed appliances: A systematic review and meta-analysis. Am J Orthod Dentofacial Orthop. 2023;163(2):154-172.
Alhaija ESA, et al. A comparative assessment of the amount and rate of orthodontic tooth movement: systematic review. PMC. 2022.
Hajeer MY, et al. Maxillary dental arch changes following the leveling and alignment stage with lingual and labial orthodontic appliances: a preliminary report. J Contemp Dent Pract. 2015;16(7):573-580.
McLaughlin RP, Bennett JC. Alignment and Levelling – Preadjusted Edgewise Fixed Appliance System. In: Bennet, McLaughlin, Trevisi (eds). The Preadjusted Edgewise Appliance and Its Biomechanics. Wiley; 2021:Chapter 14.
Eid FY, et al. A randomized controlled trial evaluating the effect of two low-level laser therapy protocols on canine retraction. Sci Rep. 2022;12:14280.
El Shehawy TO, et al. Outcome of photodynamic therapy on orthodontic leveling and alignment: systematic review and meta-analysis. Orthod Craniofac Res. 2020;23(4):177-185.
Vighnesh R, Nambiar S, Philip Jose N, Shetty S, Desai A. Retraction in Orthodontics – A Short Review. Indian J Forensic Med Toxicol. 2021;15(1):966-973.
Laceback mechanics: The role of laceback in fixed orthodontic therapy. Shahad Hassan Hassan. (unpublished PDF) 2023.
“014 versus .016 in alignment and leveling” – UNC dissertation. 2016.



